| Before | After |
|---|---|
治療前1![]() ![]() ![]() |
治療後1![]() ![]() ![]() |
治療前2![]() ![]() ![]() |
治療後2 |
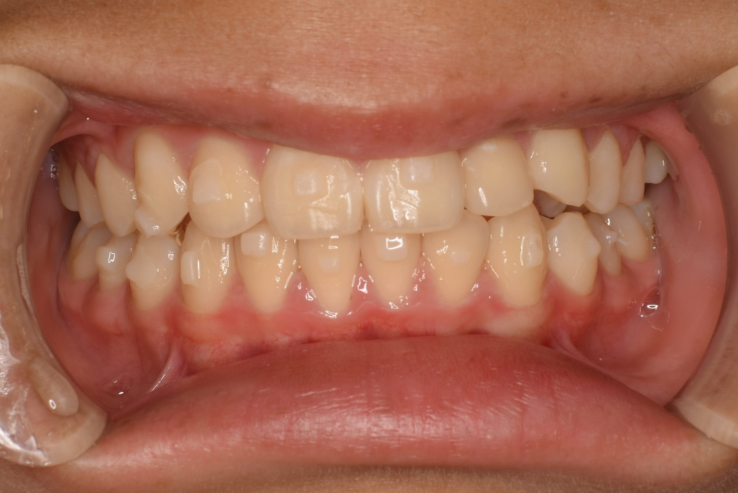
治療前3![]() ![]() ![]() |
治療後3 |
|
治療前4
|
治療後4
|
主訴
上下の前歯のガタガタの解消。上下の正中のずれ、八重歯の改善。小児用のインビザラインで治したい。
診断名
アングル2級咬合叢生(八重歯、前歯部クロスバイト。上下の正中のずれ。)
年齢・性別
12歳、男性
治療期間・回数
約1年
治療方法
インビザライン・ファースト。非抜歯。IPR無し。
上顎側方拡大量4番部分で右3.4mm、左3.8mm。
下顎側方拡大量4番部分で右2.4mm、左3.3mm。
費用
55万円(2023年当時)
デメリット・注意点
本ケースは小児矯正開始時期が12歳男児と非常に遅く、乳歯もかろうじて乳臼歯Eが1本のみ残っているという、拡大したい時期としては「手遅れ」に近い時期からの矯正スタートでした。
ちなみに、顎骨の成長・拡大は男児で11歳、女児で10歳半がリミットといわれており、その時期からはむしろ14歳位までは若干の犬歯間距離の縮小(アゴが小さくなる)が通常発生します。
それで、14歳位から前歯部のガタガタが顕著になってくる方が多発し、その時期になって初めて「歯列矯正」を考えるようになる方が多いです。
今回のケースでは「幸いにも」13歳近くの年齢にも関わらず顎骨の拡大に成功し、かなり強めの叢生が「わずか1年で」解消出来ました。
備考
近年の子供たちの矯正治療では、小学生期の「1期治療」、そして中高生期の「2期治療」などという言い方があり、「1期治療が終わったら、そのうち2期治療を始めましょう」というような考え方があります。
しかし、私からするとそのような考え方は「1期治療の失敗」のやり直しであり、本来、的確な治療方針のもとに、的確な「拡大量」が確保でき、的確な1期治療が完成すれば「2期治療は必要ないはず」です。
インビザライン・ファーストとそれ以外の(拡大床などによる)小児矯正との決定的な違いはそこにあります。
当院でのインビザライン・ファーストの治療後のお子様の中で、いわゆる「2期治療」に移行した患者さんは「ほぼゼロ」です。
これは「ちょっとした自慢」なのですが!




















































