
インプラント治療はどこで受けても
同じではありません
インプラントは、見た目や噛む力を回復するだけでなく、外科的な処置を伴うため、安全性と精度が求められます。
そのため、どの歯科医院で治療を受けるかは、結果に大きく影響します。
溝の口の佐和歯科・矯正歯科 口腔外科クリニックでは、25年以上にわたり地域に根ざした歯科医療を提供しており、インプラント治療にも豊富な実績があります。
歯科用CTや3Dシミュレーションシステムを活用し、細部まで正確に診断・計画を行うことで、痛みや腫れに配慮した、身体への負担が少ない治療を実現しています。
さらに当院では、インプラント治療に保証制度を設けており、治療後も安心してお過ごしいただけます。また、常勤のトリートメントコーディネーター(TC)が5人在籍しているため、治療に関するご相談はいつでも可能です。初診のカウンセリングから治療アシスタントまで一貫して担当する体制を整えており、患者さまに寄り添いながら長期的にサポートいたします。
歯を失ってお悩みの方、インプラントをご検討の方も、まずはお気軽にご相談ください。
COUNSELINGインプラント無料相談 実施中
「インプラントに興味はあるけど、不安がある」「自分に合った治療を知りたい」──
そんな方のために、無料相談を行っています。
治療内容や費用、期間などについて丁寧にご説明し、不安や疑問をしっかり解消いたします。

診査料・CT撮影無料
インプラント治療のご相談は、当院までお気軽にご相談ください
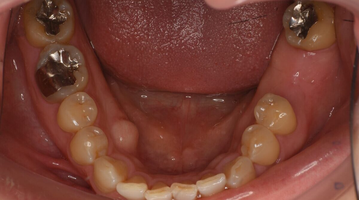
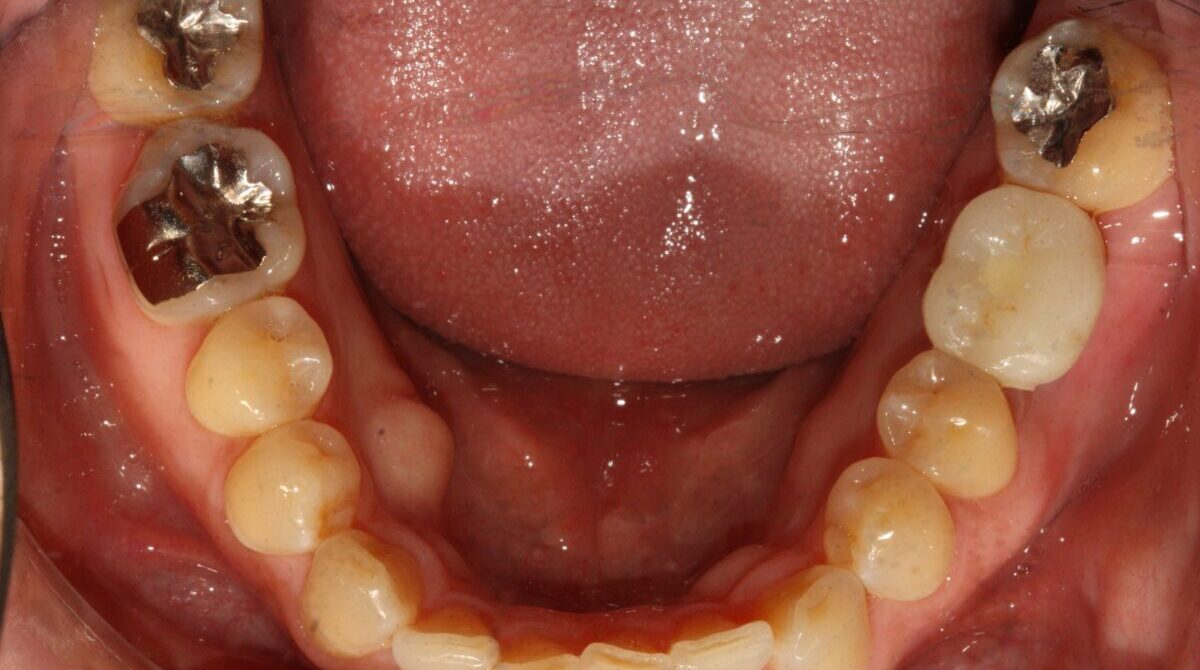
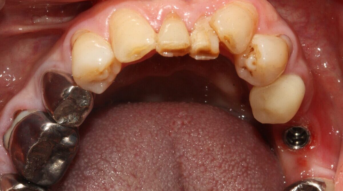
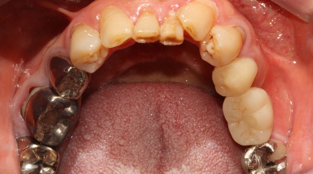
CASE症例紹介
IMPLANT

噛む力を取り戻して、人生を楽しむインプラント治療
-
しっかり
噛める -
自然で
美しい見た目 -
まわりの歯に
負担をかけない
失った歯を自然な見た目と機能で取り戻す治療がインプラントです。
あごの骨に人工の歯根をしっかりと埋め込み、その上に人工歯を装着するため、ご自身の歯と変わらない噛み心地を実感していただけます。
当院では、患者様一人ひとりの骨の状態やご希望に合わせて治療法を選択し、骨造成などの高度な技術も取り入れております。
患者様のニーズに応えるインプラント治療法
歯ぐきを
切らない
縫わない

腫れや痛みを抑えた低侵襲なインプラントフラップレス
インプラント
歯ぐきを大きく切開せず、小さな穴からインプラントを埋め込む方法です。術後の腫れや出血が少なく、身体への負担を抑えたい方に適しています。
治療期間を
大幅に短縮

抜歯と同時にインプラントと仮歯を装着抜歯即時荷重・
即時埋入
抜歯と同時にインプラントを埋入し、仮歯まで一日で装着できる治療法です。治療期間を短縮できるのが大きなメリットで、早く噛める歯がほしい方に選ばれています。
入れ歯の動きを
しっかり
固定

数本のインプラントで安定した入れ歯を実現インプラント
オーバーデンチャー
数本のインプラントで入れ歯を固定する治療法です。装着時のズレや違和感が少なく、総入れ歯に不満を感じている方におすすめです。


25年以上の実績と経験による
信頼のインプラント治療
当院は開院から25年以上にわたり、地域の皆さまにインプラント治療を提供してまいりました。豊富な経験と数多くの症例実績をもとに、一人ひとりの患者様に最適で安全な治療をご提案しています。これまで培ってきた確かな技術と丁寧な診療により、多くの患者様から信頼をいただいております。
初めてインプラントをご検討の方や、過去に断られた方、難症例の方でも安心してご相談いただける体制を整えています。保証制度もご用意しており、長期的な安心をサポートしています。


痛みや腫れを抑えた
負担の少ない治療法
当院では、患者様の身体的負担をできるだけ抑えるため、歯ぐきを切らずにインプラントを埋入する「フラップレスインプラント」や、抜歯と同時にインプラントを入れる「抜歯即時埋入・即時荷重」の術式にも対応しています。これにより、術後の痛みや腫れを軽減し、治療期間の短縮にもつながります。


安全・精密な治療を実現するための
充実した先進の設備
当院では、歯科用CTをはじめ、マイクロスコープや口腔内スキャナーなど、精密な診断と治療に必要な医療機器を取り揃えています。これにより、患者様一人ひとりに適した正確な治療計画を立てることが可能です。また、高性能のクラスB滅菌器を導入し、器具の衛生管理を徹底。安全・安心な治療環境を整えています。


ガイデッドサージェリーによる安全で正確な手術
当院では、CT撮影で取得した詳細なデータをもとに、専用ソフトで手術のシミュレーションを行います。作成したサージカルガイドを使用することで、インプラントを正確かつ安全に埋入できるため、神経や血管を傷つけるリスクを大幅に減らせます。患者様の身体への負担を最小限に抑え、安全で安心な手術を実現しています。


厳選した国産・海外
インプラントメーカー
当院では、品質と安全性に定評のある国産「ケンテック」をはじめ、「ストローマン」「白鳳」「ジーマー」「アストラ」など複数のインプラントメーカーを取り扱っています。患者様の状態や希望に合わせて最適なインプラントを選び、長く安心して使える治療を提供します。


コーディネーターによる
安心のサポート体制
治療前のカウンセリングから手術、治療後のケアまで、担当医と専属トリートメントコーディネーター(TC)が連携してサポートします。
当院には5名のTCが在籍し、初診から治療のアシスタントまで一貫して担当するため、疑問や不安もいつでもご相談いただける体制を整えています。


お口全体を見据えた
包括的な口腔ケアを提供
当院では、インプラント治療に加え、歯周病治療・予防歯科・矯正治療・一般歯科など、口腔全体を総合的にサポートできる体制を整えています。各分野の専門スタッフが連携し、一人ひとりの症状やライフスタイルに合わせた最適な治療をご提案。お口の健康を長く守るためのトータルケアを行っています。
院長挨拶
GREETING

Dr.福田 直彦
患者様に寄り添い、
安心できるインプラント治療を
当院は25年以上にわたり、地域の皆さまのお口の健康と向き合ってまいりました。インプラント治療においても、ただ歯を補うだけでなく、患者様の「これからの人生をより前向きにする治療」であると考えています。
インプラントは外科処置を伴う治療だからこそ、痛みや腫れなどの負担をできる限り抑えることが重要です。当院では、フラップレス手術や抜歯即時埋入といった、身体への侵襲を抑えた治療法も積極的に取り入れています。
「他院で断られた」「治療方針に納得できない」「費用や期間に不安がある」──そんなお悩みにも、専門的な視点から丁寧にお応えします。セカンドオピニオンのご相談も歓迎しておりますので、まずはお気軽にお話をお聞かせください。
その第一歩を、当院と一緒に踏み出していただけたら嬉しく思います。

























